Results
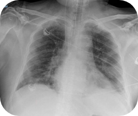
Chest X-ray:
Gram stain:
Lateral flow assay:
Calcofluor white stain of BAL
samples:
Patchy areas of consolidation
Positive for fungal elements
No microorganisms seen
Positive for aspergillosis
Images supplied with permission of treating clinician.
Results
Chest X-ray:
Calcofluor white stain of BAL samples:
Gram stain:
Lateral flow assay:
Patchy areas of consolidation
Images supplied with permission of treating clinician.
Positive for fungal elements
No microorganisms seen
Positive for aspergillosis